Before After
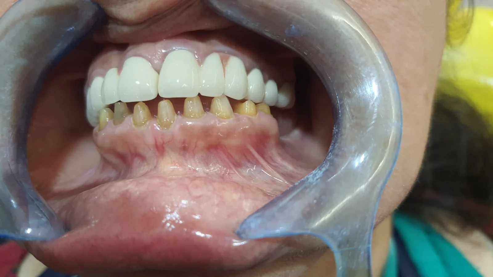
FULL MOUTH REHABILITATION
Make a lasting impression with a wonderful smile
Full mouth reconstruction entails rebuilding and/or replacing all of the patient’s teeth, as the name suggests. In order to enhance the health, functionality, and beauty of the mouth, full mouth reconstructions combine aesthetics and restorative dentistry science.










